2021年11月10日,复旦大学附属儿科医院心内科再创佳绩,成功完成一例6岁川崎病患儿左冠状动脉回旋支长段完全性闭塞的经导管血运重建手术,为国内首例,如此低年龄患儿的介入治疗在国际上也罕见报道。
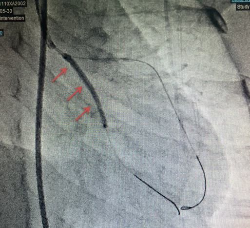
6岁的涵涵(化名)来自东北,聪明乖巧,不幸的是生后4个月她患了川崎病,而且遗留严重的冠状动脉病变。涵涵的妈妈自己是一名医务工作者,深知冠状动脉病变的危险性,非常用心地坚持抗凝治疗。但当地最近的CT冠状动脉造影检查显示左前降支明显钙化、回旋支纤细,而且涵涵出现了明显胸闷胸痛的情况。经当地医生推荐,涵涵和家人来到我们医院。入院后经过详尽的冠状动脉影像和心肌缺血的评估,涵涵的左冠状动脉回旋支起始端长段完全闭塞(图1),而且同位素负荷心肌灌注显像显示心肌侧壁、下壁、前壁多处可逆性缺血,侧枝血管不足以满足心肌的供血。我院心内科刘芳主任团队与中山医院心内科马剑英教授充分讨论后,决定为涵涵进行经导管回旋支再通血运重建手术。
图1. 箭头所示左冠状动脉回旋支(CX)近端长段闭塞,长度17mm,
左前降支(LAD)形成的侧枝供应CX远段
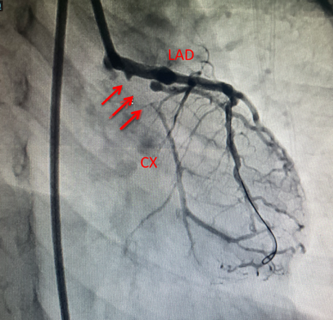
经过充分准备,11月10日,涵涵实施了冠状动脉闭塞再通及球囊扩张术。由于涵涵仅6岁,手术难度极大,但治疗小组制定了缜密的方案,历经1个半小时的手术,完美的完成了血运重建,手术后造影显示闭塞的冠状动脉完好显影(图2,图3),未见夹层及假性动脉瘤形成,整个手术操作一气呵成。

图2. 2.5mm*30mm的药物球囊(箭头)进行扩张
图3. 球囊扩张后造影显示左回旋支完好再通(箭头所示),
管壁光滑规整,远端血流明显增多
经皮冠状动脉介入手术(PCI)由于创伤小、恢复快,在成人已成为治疗冠状动脉粥样硬化性心脏病的首选。但川崎病合并冠状动脉病变不同于成人的粥样硬化性心脏病,常常早期为动脉瘤,后期由于血栓形成或内膜增生或钙化导致血管狭窄或闭塞,而且常常多个动脉瘤与狭窄或闭塞并存,病变复杂,选择PCI还是冠状动脉旁路移植术(CABG)需充分评估后慎重决定。目前国内仅有为成人设计的冠状动脉导管,儿童血管细、主动脉弓短,大大增加了PCI手术难度。目前国内尚未见儿童冠状动脉闭塞后经导管介入治疗的病例报道,国际上也罕见此类病例报道。
复旦大学附属儿科医院心血管中心川崎病专家团队长期致力于打造川崎病冠状动脉病变诊治、评估、管理一体化体系,不断挑战、突破高难度诊疗技术,为川崎病患儿提供最优化的诊治方案,为提升我国川崎病的诊治能力和水平贡献复旦儿科方案。
